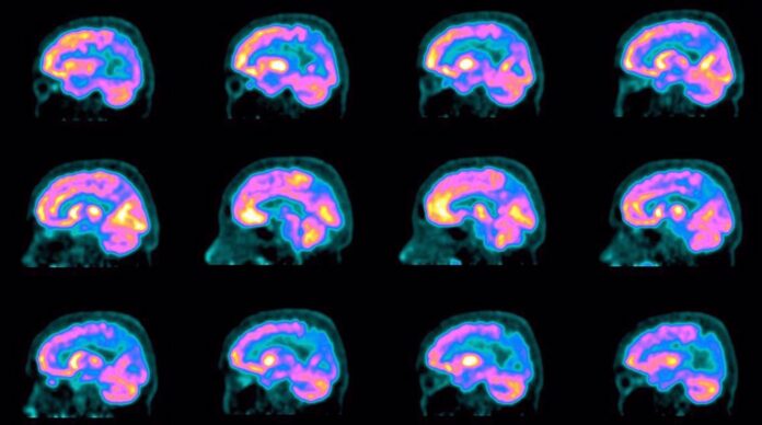
تہران (مشرق نامہ) – ایرانی جوہری سائنسدانوں نے ایک ایسا ریڈیو فارماسیوٹیکل تیار کر لیا ہے جو الزائمر کی بیماری کو علامات ظاہر ہونے سے بیس سال قبل ہی تشخیص کر سکتا ہے، جس سے بروقت مداخلت اور علاج کے امکانات میں نمایاں اضافہ ہوگا۔
منگل کو جاری رپورٹ کے مطابق، یہ نیا ریڈیو فارماسیوٹیکل، جسے فلوربیٹا پیر کہا جاتا ہے، نہ صرف بیماری کی ابتدائی پیتھالوجیکل علامات کی نشاندہی کرتا ہے بلکہ مرض کی رفتار کو کم کرنے کے لیے زیادہ ہدفی اور مؤثر علاج کے طریقے بھی ممکن بناتا ہے۔
ایک ایرانی جوہری سائنسدان نے وضاحت کی کہ فی الحال الزائمر کا کوئی علاج موجود نہیں، لیکن اس کی پیش رفت کو سست کیا جا سکتا ہے۔ انہوں نے کہا کہ حال ہی میں تیار کیے گئے ریڈیو فارماسیوٹیکلز میں سے ایک خاص طور پر الزائمر کی ابتدائی تشخیص کے لیے ڈیزائن کیا گیا ہے اور یہ بیماری کے آغاز کی پیش گوئی دو دہائیاں پہلے تک کر سکتا ہے۔
ایرانی حکام نے واضح کیا کہ وہ پرامن مقاصد کے لیے جوہری ٹیکنالوجی کے حق سے دستبردار نہیں ہوں گے، جن میں طب کا شعبہ بھی شامل ہے، خاص طور پر اعصابی زوال پذیر امراض میں جہاں قبل از وقت تشخیص نہایت اہمیت رکھتی ہے۔
ایک مخصوص کیس اسٹڈی میں، 56 سالہ مریض کو، جس میں یادداشت کی کمی کے آثار تھے، انجیکشن کے بعد امیجنگ کرائی گئی، جس کے نتائج میں مثبت کلینیکل بہتری اور اعصابی صحت میں واضح پیش رفت دیکھی گئی، جس سے قبل از وقت تشخیص کی افادیت ثابت ہوئی۔
فلوربیٹا پیر کی تیاری ایرانی جوہری صنعت کے سائنسدانوں کی دو سالہ سائنسی محنت کا نتیجہ ہے، جو انہوں نے بین الاقوامی پابندیوں اور امریکی کمپنیوں سمیت کئی اداروں کی عدم تعاون کے باوجود مکمل کی۔
بڑی عالمی فارماسیوٹیکل کمپنیوں کے ساتھ تعاون میں مشکلات کے باوجود، ایرانی سائنسدانوں نے فلوربیٹا پیر کی پہلی مقامی خوراک تیار کرنے میں کامیابی حاصل کر لی۔ اب تک 80 مریض اس ریڈیو فارماسیوٹیکل سے مستفید ہو چکے ہیں اور نیوکلئیر میڈیسن کے ماہرین نے الزائمر کی قبل از وقت تشخیص میں شاندار نتائج کی اطلاع دی ہے۔

